Комплексное восстановление зубов при выраженной стираемости

Услуги в рамках работы
  • Комплексное восстановление зубов при выраженной стираемости
Photo 2026 02 06 15 34 22 (4)

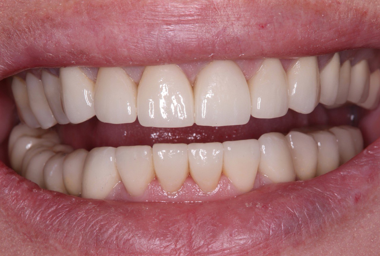
Результат проделанной работы

Клиническая ситуация

Пациентка обратилась для замены старой коронки на центральном зубе и коррекции внешнего вида улыбки.

При осмотре выявлена выраженная анатомическая стираемость зубов:

центральные и боковые резцы, клыки, а также шесть нижних передних зубов были значительно укорочены.

Также в нижних жевательных отделах ранее были установлены импланты, требующие протезирования.

Проведённое лечение

Удалена старая коронка на центральном зубе

Заменены несостоятельные реставрации

В зоне улыбки выполнено восстановление:

один центральный зуб восстановлен коронкой

остальные передние зубы восстановлены винирами

На нижних жевательных зубах проведено протезирование на ранее установленных имплантах — установлены коронки

Восстановлена высота зубов, форма и прикус

Результат лечения

Восстановлены пропорции зубов

Устранена стираемость

Возвращена полноценная жевательная функция

Сформирована гармоничная улыбка

Похожие работы

Photo 2026 02 06 15 59 50 (3)
  • Эстетическая реабилитация фронтальной группы зубов винирами
Эстетическая реабилитация фронтальной группы зубов винирами
Photo 2026 02 06 15 58 31
  • Пластика десны в области двух центральных зубов
Пластика десны в области двух центральных зубов
Photo 2026 02 06 15 55 46
  • Лечение 6 зуба: замена разрушенной пломбы
Лечение 6 зуба: замена разрушенной пломбы
20221205155905 img 5280 03 01
  • Восстановление центральных и боковых резцов: коронки и виниры
Восстановление центральных и боковых резцов: коронки и виниры
Photo 2026 02 06 15 56 02
  • Закрытие диастемы с помощью виниров
Закрытие диастемы с помощью виниров
Img 2429
  • Полное восстановление зубов на нижней и верхней челюсти
Полное восстановление зубов на нижней и верхней челюсти
Img 2432
  • Восстановление фронтальной группы зубов: реставрации и циркониевые коронки
Восстановление фронтальной группы зубов: реставрации и циркониевые коронки
Img 2452
  • Лечение 6 и 7 зубов: реставрация фотополимерными материалами
Лечение 6 и 7 зубов: реставрация фотополимерными материалами
Img 2463
  • Реставрация центральных зубов с установкой виниров E.max
Реставрация центральных зубов с установкой виниров E.max
Img 2460
  • Лечение 5, 6 и 7 зубов с восстановлением контактов и установкой циркониевой коронки
Лечение 5, 6 и 7 зубов с восстановлением контактов и установкой циркониевой коронки
Img 2427
  • Закрытие диастемы и восстановление зоны улыбки винирами
Закрытие диастемы и восстановление зоны улыбки винирами
Img 2422
  • Замена старых коронок на фронтальной группе зубов
Замена старых коронок на фронтальной группе зубов
Img 2423
  • Лечение 6 и 7 зубов: реставрация и установка циркониевой коронки
Лечение 6 и 7 зубов: реставрация и установка циркониевой коронки
Img 2413
  • Полная реабилитация при отсутствии зубов
Полная реабилитация при отсутствии зубов
Img 2416
  • Лечение 6 зуба: замена старой пломбы и реставрация
Лечение 6 зуба: замена старой пломбы и реставрация

Наша клиника готова предложить Вам самый
широкий спектр стоматологических услуг