Закрытие диастемы и восстановление зоны улыбки винирами

Услуги в рамках работы
  • Закрытие диастемы и восстановление зоны улыбки винирами
Img 2427

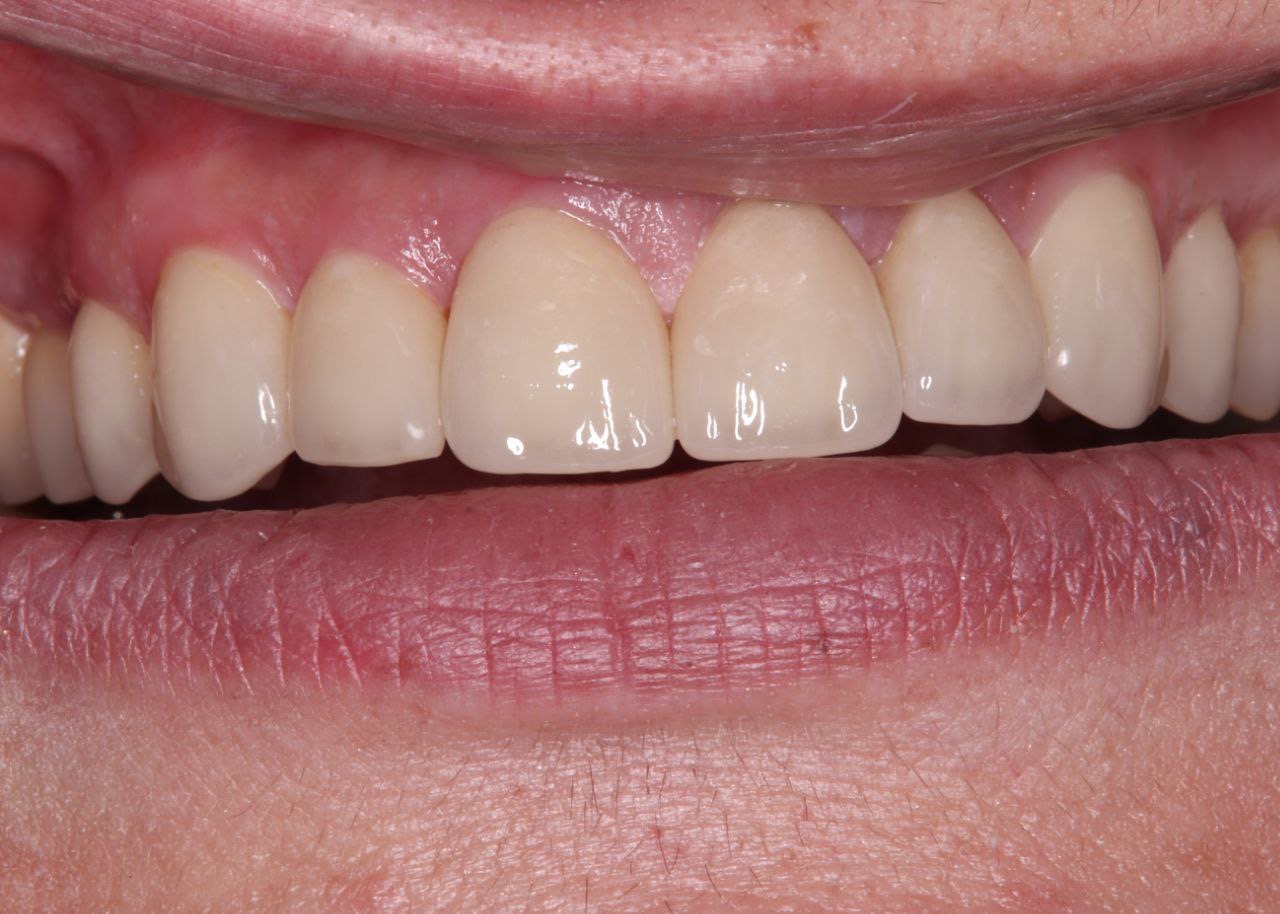
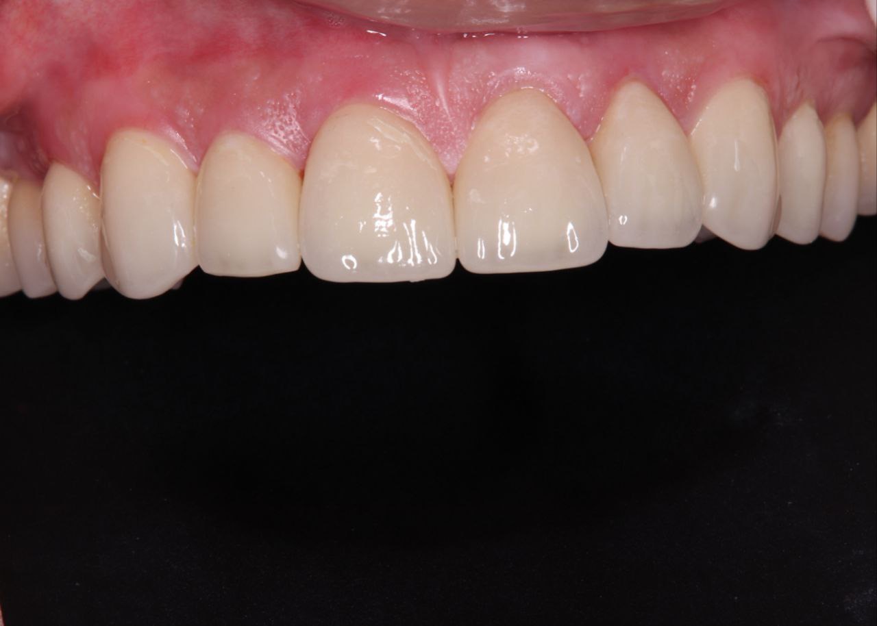
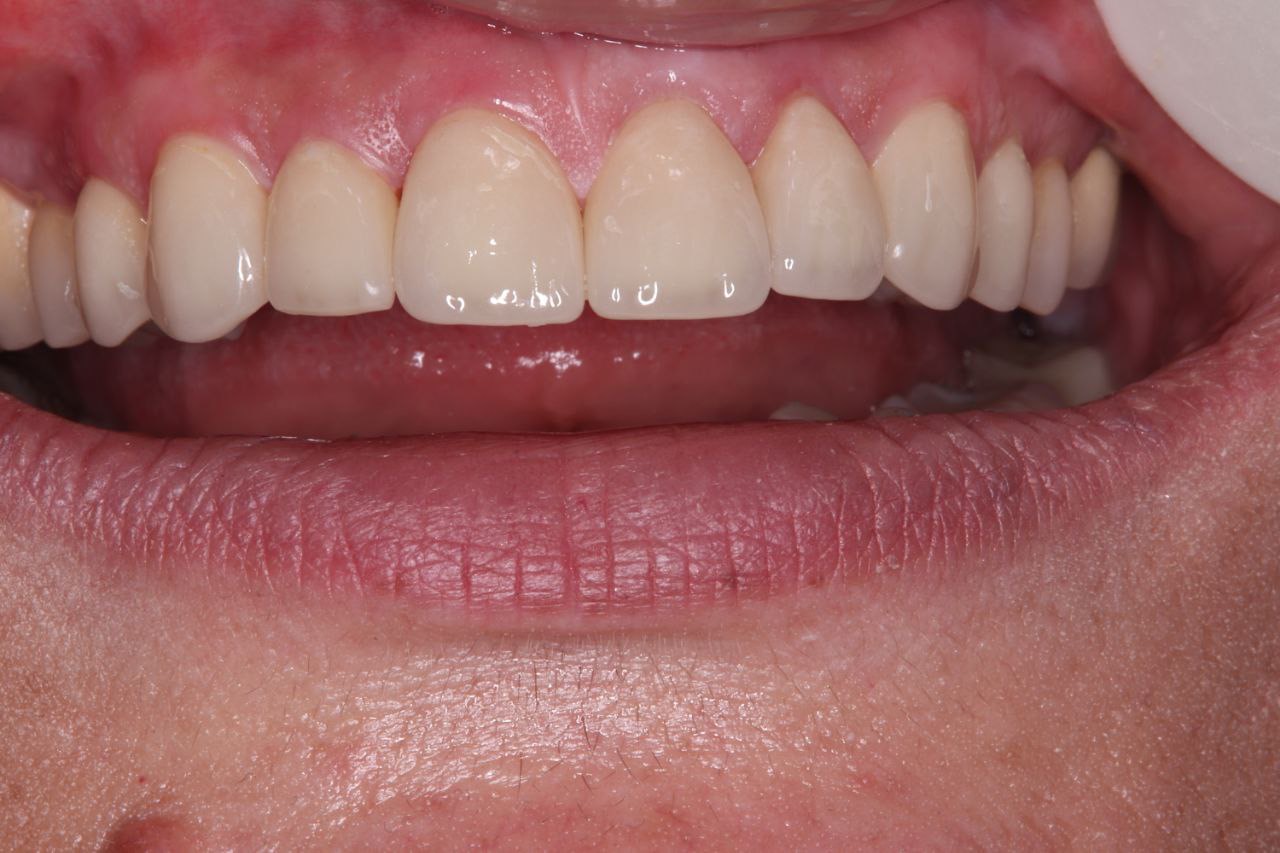
Результат проделанной работы

Клиническая ситуация

Пациентка обратилась с щелью между передними зубами (диастемой). В зоне улыбки ранее были выполнены реставрации, которые со временем изменили цвет и форму.

Проведённое лечение

Удалены старые пломбы и несостоятельные реставрации

Проведена подготовка зубов

Установлены шесть виниров на передние зубы — от клыка до клыка

Закрыта диастема и восстановлена форма зубов

Материал — прессованная керамика E.max

Работа выполнена с индивидуальным планированием формы и пропорций зубов с учётом особенностей улыбки и лица пациентки

Преимущества виниров E.max

Высокая прочность при минимальной толщине

Естественный внешний вид

Точное прилегание к зубу

Стабильность цвета

Срок службы 10–15 лет и более при соблюдении рекомендаций врача

Похожие работы

Photo 2026 02 06 15 59 50 (3)
  • Эстетическая реабилитация фронтальной группы зубов винирами
Эстетическая реабилитация фронтальной группы зубов винирами
Photo 2026 02 06 15 58 31
  • Пластика десны в области двух центральных зубов
Пластика десны в области двух центральных зубов
Photo 2026 02 06 15 55 46
  • Лечение 6 зуба: замена разрушенной пломбы
Лечение 6 зуба: замена разрушенной пломбы
20221205155905 img 5280 03 01
  • Восстановление центральных и боковых резцов: коронки и виниры
Восстановление центральных и боковых резцов: коронки и виниры
Photo 2026 02 06 15 34 22 (4)
  • Комплексное восстановление зубов при выраженной стираемости
Комплексное восстановление зубов при выраженной стираемости
Photo 2026 02 06 15 56 02
  • Закрытие диастемы с помощью виниров
Закрытие диастемы с помощью виниров
Img 2429
  • Полное восстановление зубов на нижней и верхней челюсти
Полное восстановление зубов на нижней и верхней челюсти
Img 2432
  • Восстановление фронтальной группы зубов: реставрации и циркониевые коронки
Восстановление фронтальной группы зубов: реставрации и циркониевые коронки
Img 2452
  • Лечение 6 и 7 зубов: реставрация фотополимерными материалами
Лечение 6 и 7 зубов: реставрация фотополимерными материалами
Img 2463
  • Реставрация центральных зубов с установкой виниров E.max
Реставрация центральных зубов с установкой виниров E.max
Img 2460
  • Лечение 5, 6 и 7 зубов с восстановлением контактов и установкой циркониевой коронки
Лечение 5, 6 и 7 зубов с восстановлением контактов и установкой циркониевой коронки
Img 2422
  • Замена старых коронок на фронтальной группе зубов
Замена старых коронок на фронтальной группе зубов
Img 2423
  • Лечение 6 и 7 зубов: реставрация и установка циркониевой коронки
Лечение 6 и 7 зубов: реставрация и установка циркониевой коронки
Img 2413
  • Полная реабилитация при отсутствии зубов
Полная реабилитация при отсутствии зубов
Img 2416
  • Лечение 6 зуба: замена старой пломбы и реставрация
Лечение 6 зуба: замена старой пломбы и реставрация

Наша клиника готова предложить Вам самый
широкий спектр стоматологических услуг