Восстановление центральных и боковых резцов: коронки и виниры

Услуги в рамках работы
  • Восстановление центральных и боковых резцов: коронки и виниры
20221205155905 img 5280 03 01

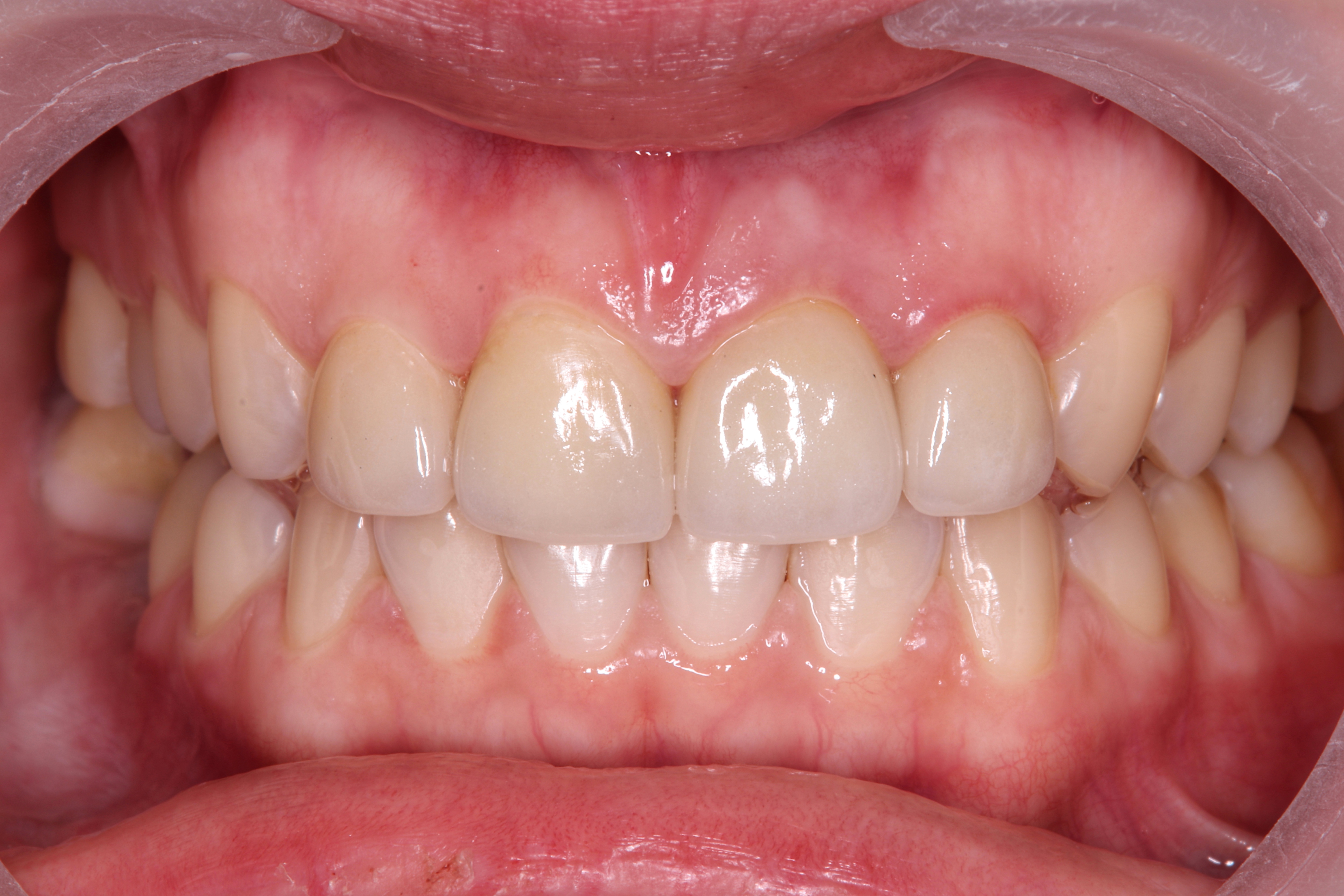
Результат проделанной работы

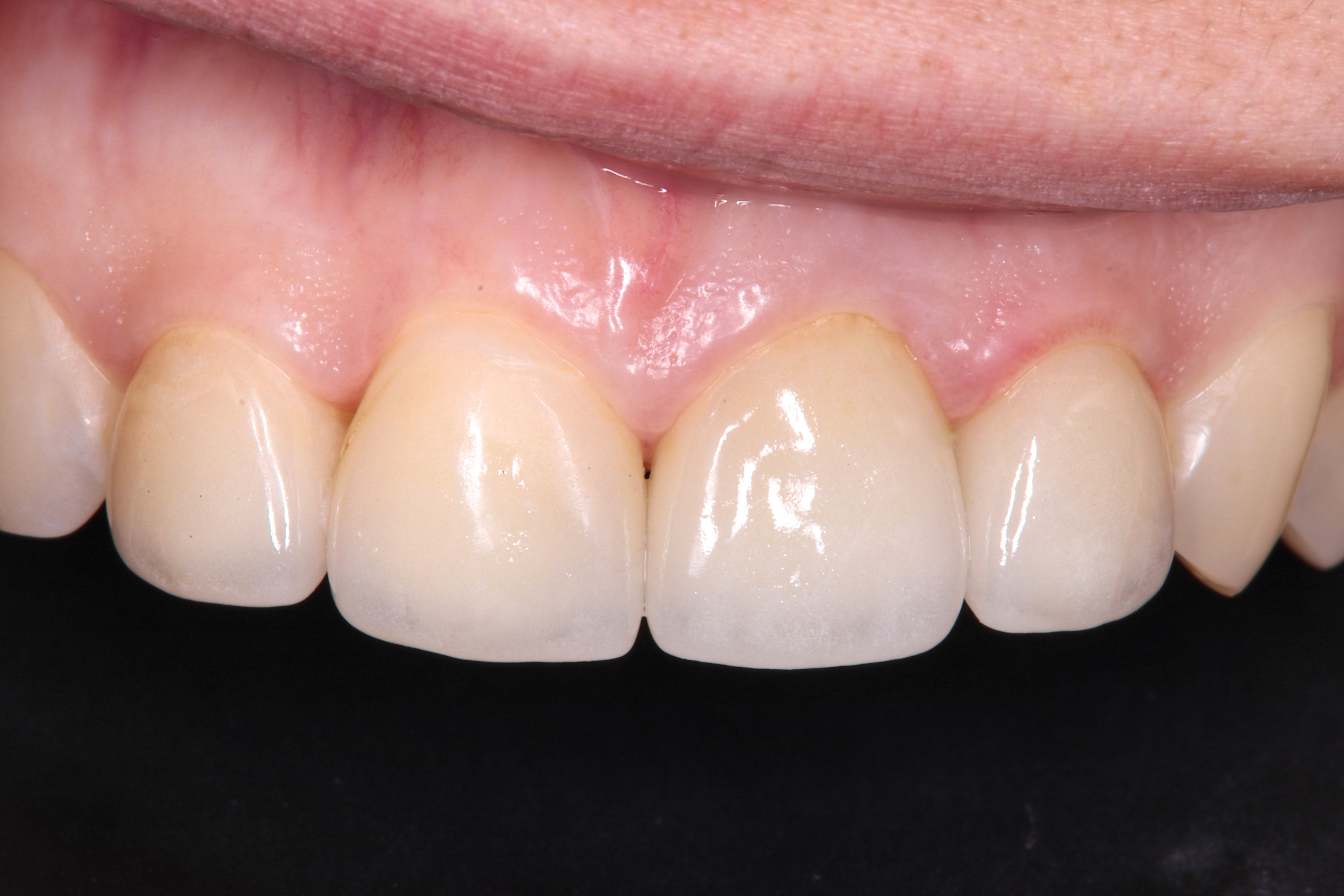
Клиническая ситуация

Пациент обратился с ранее установленной коронкой на центральном зубе. Зуб был восстановлен вкладкой.

На левом боковом резце (двойке) выявлена кариозная полость.

Также центральный и правый боковой резец имели выраженную стираемость режущего края, форма зубов не соответствовала анатомии.

Проведённое лечение

Удалена старая коронка

Проведена оценка состояния опорного зуба

Выполнено лечение кариеса на левом боковом резце

Установлены коронки на центральный зуб и левую двойку

На центральный и правый боковой резец установлены виниры для восстановления режущего края и правильной формы зубов

Восстановлены пропорции, симметрия и анатомическая форма передней группы зубов

Преимущества керамических коронок и виниров

Прочность и устойчивость к нагрузке

Точное прилегание к зубу

Стабильность цвета

Естественный внешний вид

Долговечность при соблюдении рекомендаций врача

Похожие работы

Photo 2026 02 06 15 59 50 (3)
  • Эстетическая реабилитация фронтальной группы зубов винирами
Эстетическая реабилитация фронтальной группы зубов винирами
Photo 2026 02 06 15 58 31
  • Пластика десны в области двух центральных зубов
Пластика десны в области двух центральных зубов
Photo 2026 02 06 15 55 46
  • Лечение 6 зуба: замена разрушенной пломбы
Лечение 6 зуба: замена разрушенной пломбы
Photo 2026 02 06 15 34 22 (4)
  • Комплексное восстановление зубов при выраженной стираемости
Комплексное восстановление зубов при выраженной стираемости
Photo 2026 02 06 15 56 02
  • Закрытие диастемы с помощью виниров
Закрытие диастемы с помощью виниров
Img 2429
  • Полное восстановление зубов на нижней и верхней челюсти
Полное восстановление зубов на нижней и верхней челюсти
Img 2432
  • Восстановление фронтальной группы зубов: реставрации и циркониевые коронки
Восстановление фронтальной группы зубов: реставрации и циркониевые коронки
Img 2452
  • Лечение 6 и 7 зубов: реставрация фотополимерными материалами
Лечение 6 и 7 зубов: реставрация фотополимерными материалами
Img 2463
  • Реставрация центральных зубов с установкой виниров E.max
Реставрация центральных зубов с установкой виниров E.max
Img 2460
  • Лечение 5, 6 и 7 зубов с восстановлением контактов и установкой циркониевой коронки
Лечение 5, 6 и 7 зубов с восстановлением контактов и установкой циркониевой коронки
Img 2427
  • Закрытие диастемы и восстановление зоны улыбки винирами
Закрытие диастемы и восстановление зоны улыбки винирами
Img 2422
  • Замена старых коронок на фронтальной группе зубов
Замена старых коронок на фронтальной группе зубов
Img 2423
  • Лечение 6 и 7 зубов: реставрация и установка циркониевой коронки
Лечение 6 и 7 зубов: реставрация и установка циркониевой коронки
Img 2413
  • Полная реабилитация при отсутствии зубов
Полная реабилитация при отсутствии зубов
Img 2416
  • Лечение 6 зуба: замена старой пломбы и реставрация
Лечение 6 зуба: замена старой пломбы и реставрация

Наша клиника готова предложить Вам самый
широкий спектр стоматологических услуг